ホーム
医院紹介
治療の流れ
患者さま喜びの声
矯正費用
オンライン相談受付
私からのメッセージ
リンク
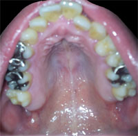
栃木県 24歳 男性
顔の歪みと噛み合わせが悪く、治療が可能なのか判断して頂ければと思います…。
以前、他のクリニックで診て頂いた事がありましたが、右の奥歯の位置が通常よりも1p程?(3年ほど前なので定かではありませんが)ズレているため、難しいとの事でした。
そちらの先生の話では、無闇に切るよりも気にしないほうが良い。とのことで、その時は諦めてしまいました。
しかし、ある事がキッカケでやはり治せる物なら治したいと思うようになり相談させて貰いました。
お手数ではありますが、どうぞ宜しくお願い致します。
成瀬歯科矯正クリニックの田中まゆみです。
ご相談メールありがとうございました。
確かに、だいぶずれていらっしゃるようにお見受けします。
手術も考えていらっしゃるようでしたら、歯科大学病院にいかれては、いかがでしょうか?
口腔外科と矯正科の両方がある所で通いやすい所をお探しになってみてください。
そして、一度相談に行かれてみてはいかがでしょう?
外科矯正なので、きっと保険が効くと思いますし、方針やおおまかなタイムスケジュールを話していただけると思います。
ちなみに、私の出身校は東京歯科大です。水道橋にあるのですが、優秀な先生が揃っておりますよ。でも、ご自身の通える範囲でお探しくださいね。
中野駅 徒歩6分 詳細マップ
診療時間
月
火
水
木
金
土
日
祝
午前 10:00〜13:00
○
○
○
×
○
○
×
×
午後 15:00〜19:00
○
○
○
×
○
○
×
×
成瀬歯科矯正クリニック 東京都中野区新井 2-1-10 tel.03-3389-7227 診療時間 10:00〜19:00 休診日 木・日・祭日
Copyright (C) Naruse Orthodonic Clinic. All Rights Reserved.